私は、これまでたくさんの患者さまの歯並びに関するお悩みと向き合ってきました。
「歯並びが気になる」「自信を持って笑えない」――そんなお話を伺うたびに、どれだけそのお気持ちが日々の生活に影響を与えているか、心にしみる思いです。
矯正治療は、一歩踏み出すのに勇気がいるものです。
「本当に治るのかな」「途中で大変なことになったらどうしよう」など、不安や疑問が尽きないのは当然のことです。
でも、その一歩を踏み出した先に、笑顔や心の軽やかさが待っていると信じています。
私たちは、治療の技術だけでなく、患者さまが「ここに来てよかった」と思えるような安心感を大切にしています。
どんなことでも、気軽にご相談ください。あなたのペースで、一緒に新しい一歩を踏み出しましょう。
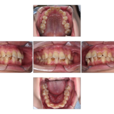
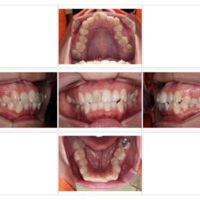
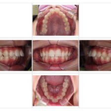
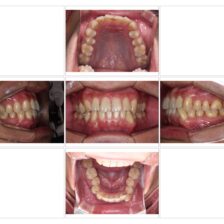
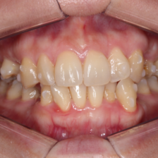
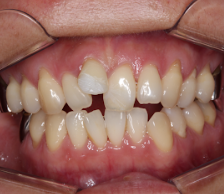
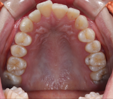
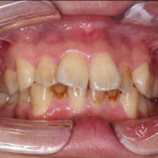
部分矯正/非抜歯矯正/スピード矯正 にも対応可能
費用20万円(税込22万円)~
期間最短 3ヵ月~
部分矯正/非抜歯矯正/スピード矯正
にも対応可能
にも対応可能



























